发布时间:2017-10-11 09:26 点击数: 次
某报曾载,一名男子因舌根部出现多个绿豆大小的红色粟状物而到当地医院的口腔科就诊。医生检查后,说不清是什么毛病。请皮肤科会诊,才确定为口腔尖锐湿疣。原来,该男子曾与“三陪女”有过性接触史。
尖锐湿疣主要是以性接触方式传播的疾病,也可以通过公共浴池、游泳池、坐便器等间接感染。由于此病好发于外阴和肛周部,所以也叫生殖器尖锐湿疣或外阴尖锐湿疣。但也有一小部分患者,其皮疹发生于口腔、趾间或腋下等处。调查显示,口腔尖锐湿疣的发病率很低。曾有人对318位尖锐湿疣患者的发病情况进行过统计,发现病变位于口腔内的只有3人。但在各种生殖器外的尖锐湿疣中,口腔尖锐湿疣的发病率则是高的,如有人统计了一组生殖器外尖锐湿疣患者51人,发现生于口腔内的为26人,占51%。

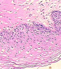
口腔尖锐湿疣的临床表现为:病变多位于舌系带及其附近,皮疹隆起呈乳头状、菜花状、鸡冠状或鹅卵石样外观,绿豆至蚕豆大小,边界清楚,数目1~10个不等。皮疹颜色多呈淡红色或鲜红色,触之易出血。显微镜下,可见表皮呈弥漫性角化不全,并呈乳头瘤样增生,棘细胞明显肥厚,可见空泡细胞,真皮浅部毛细血管扩张及慢性炎症细胞浸润。
尖锐湿疣是由人类乳头瘤病毒(HPV)引起的传染性疾病。HPV有几十种类型,不同类型的HPV引发皮疹的好发部位和特征不同,如HPV16、HPV18、HPV58与宫颈尖锐湿疣和子宫癌的发生有关,而HPV6、HPV11、HPV16与口腔尖锐湿疣的发生有关。HPV易在人体温热潮湿的部位生长繁殖,故外生殖器、肛周等部位是尖锐湿疣的好发部位。口腔尖锐湿疣大多通过口交传染。
尽管口腔尖锐湿疣占全部尖锐湿疣的比例很小,但因尖锐湿疣的发病率较高,故有关专家提醒大家,随着近年来不良性行为人数的逐渐增多以及性爱方式的多样化,口腔尖锐湿疣的发病不容忽视。而预防本病的有效方法是洁身自好,杜绝婚外性行为,同时还应养成良
好的卫生习惯。一旦发现本病的蛛丝马迹,要及早就医,切莫贻误病情。